폐기포 원인부터 치료와 예방까지, 반드시 알아야 할 10가지 핵심 정보
숨이 턱 막히는 순간, 당신의 폐 속에 '이것'이 자리 잡고 있을지도 모릅니다. 폐기포, 알고 계셨나요?

여러분, 안녕하세요. 요즘 건강검진 다들 잘 받고 계시나요? 얼마 전 친구가 건강검진에서 흉부 X-ray를 찍었는데, 예상치 못한 결과가 나왔다고 하더라고요. 바로 '폐기포'였어요. 처음 듣는 단어라 깜짝 놀랐는데, 알고 보니 생각보다 많은 사람들이 겪는 문제더라고요. 그래서 오늘은 이 폐기포라는 녀석에 대해 낱낱이 파헤쳐 보려고 해요. 저처럼 처음 듣는 분들이라도 이 글 하나만 보시면 '아, 이런 거구나!' 하고 이해되실 거예요. 우리 함께 폐 건강을 지키는 첫걸음을 시작해 볼까요?
폐기포란 무엇인가요?
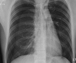
폐기포는 폐 조직 일부가 손상되면서 공기가 빠져나가지 못하고 한쪽에 모여 풍선처럼 부풀어 오르는 현상을 말해요. 병원에서는 이걸 "Bulla" 또는 "Blebs"라고 부르기도 해요. 일반적으로 건강검진이나 흉부 X-ray, CT 촬영 중에 우연히 발견되는 경우가 많아요. 문제는 대부분 별다른 증상이 없어서 본인도 모르게 오래 지내는 경우가 많다는 거죠.
폐기포 자체는 양성 병변이지만, 크기가 커지거나 갑작스럽게 터지면 폐기흉이라는 더 심각한 상황으로 이어질 수 있어요. 특히 젊고 마른 남성에게 자주 나타나는 경향이 있어요. 실제로 병원 의사들은 이런 폐를 '푸석푸석하다'고 표현하곤 해요.
폐기포의 대표 증상은?
놀랍게도 대부분의 폐기포는 증상이 없어요. 그래서 더 무서운 거죠. 하지만 아래와 같은 증상이 있다면 반드시 주의해야 해요.
- 가슴 한쪽이 찌릿하거나 통증이 있다
- 갑자기 숨쉬기가 불편해진다
- 운동 중 또는 후에 호흡이 힘들어진다
이러한 증상이 갑작스럽게 발생했다면 폐기포가 터져 폐기흉이 발생한 것일 수 있어요. 응급실로 바로 가야 해요.
주요 원인: 왜 생기는 걸까요?
폐기포는 딱히 하나의 원인으로 단정짓기 어려워요. 특히 10대 후반에서 30대 초반의 젊은 남성들에게서 자주 발견되지만, 별다른 질병력 없이도 생길 수 있죠. 그래도 몇 가지 가능성은 있어요.
| 원인 | 설명 |
|---|---|
| 흡연 | 폐 조직에 만성 손상을 주고, 폐포 벽을 파괴해 폐기포를 유발할 수 있음 |
| 유전 및 체질 | 마르고 키가 큰 사람에게 빈번, 가족력도 관련 있음 |
| 감염 또는 염증 | 폐에 염증이 반복되면 약해진 부분이 풍선처럼 늘어남 |
| 코로나19 후유증 | 일부 환자에게서 감염 이후 폐기포 발견 사례 보고됨 |
폐기포가 위험한 이유
겉보기엔 멀쩡해 보일 수 있지만, 폐기포는 언제든지 문제를 일으킬 수 있어요. 특히 폐기포가 갑작스럽게 터지면 공기가 흉강으로 빠져나가 폐기흉이라는 응급질환으로 이어질 수 있죠.
양측성(양쪽 폐) 폐기포가 터질 경우에는 호흡곤란으로 생명이 위험해질 수 있습니다. 특히 운동 중에는 갑작스럽게 나타날 수 있어요.
게다가 반복적으로 폐기흉이 발생하면 일상생활이 어려워지고, 결국에는 수술적 치료가 필요할 수도 있어요. 그러니 단순히 무증상이라고 방심해서는 안 돼요.
폐기포 자가 진단은 가능할까?
안타깝게도 폐기포는 겉으로 드러나는 증상이 거의 없기 때문에 자가 진단이 어려워요. 간혹 호흡곤란이나 가슴 통증이 있을 수는 있지만, 그 역시 다른 질환과 구분이 어려워요.
그래서 건강검진이 중요한 거예요. 매년 정기적으로 흉부 X-ray나 폐 CT를 찍는 것만으로도 미리 발견할 수 있습니다.
특히 흡연자거나 가족력이 있는 경우에는 더 자주 검진을 받는 것이 좋아요.
병원에서는 어떻게 진단하나요?
폐기포를 진단하기 위한 대표적인 방법은 다음과 같아요:
- 흉부 X-ray: 간단하고 저렴하지만, 작은 폐기포는 놓칠 수 있어요.
- 흉부 CT(저선량): 정확하고 폐 깊숙한 부분까지 확인 가능해요.
- 폐기능 검사: 폐활량, FEV1/FVC 비율 등을 통해 폐 건강 전반을 평가해요.
KMI 한국의학연구소에서는 'KL-6'이라는 혈액검사로 간질성폐질환까지 조기 진단할 수 있어요. 만약 코로나 이후 폐 통증이 있다면 이 검사도 고려해보세요.
폐기포의 치료 방법 3가지
폐기포는 증상이 없으면 보통 경과 관찰만 하지만, 증상이 있거나 폐기흉이 자주 생긴다면 적극적인 치료가 필요해요. 대표적인 치료법은 아래와 같아요.
- 경과 관찰: 증상이 없고 크기가 작을 경우 정기적으로 CT로 추적 관찰해요.
- 흉강 배액술: 폐기포가 터져 공기가 흉강에 찬 경우, 튜브로 공기를 배출해요.
- 수술(쐐기 절제술): 반복적인 폐기흉이나 큰 폐기포는 절제 수술로 제거해요.
특히 쐐기 절제술(wedge resection)은 재발 방지에 효과적이며, 흉강경 수술로 흉터도 적어요. 회복 기간도 짧고, 입원도 평균 3~5일이면 가능하죠.
재발 방지를 위한 예방법은?
폐기포는 터졌을 때의 위험성이 크기 때문에 미리 예방하고 관리하는 게 정말 중요해요. 다음은 꼭 지켜야 할 관리 팁이에요.
- 금연: 가장 기본이면서도 가장 강력한 예방법이에요.
- 무리한 운동 피하기: 특히 수영, 헬스 등 폐 압력을 급격히 높이는 운동은 주의!
- 건강한 식사와 체중 유지: 마른 체형이 더 취약하므로 균형 잡힌 영양 섭취는 필수!
- 정기 건강검진: 1~2년에 한 번 흉부 CT를 통해 조기 발견 가능해요.
자주 묻는 질문 (FAQ)
맺음말
폐기포는 겉으론 잘 드러나지 않지만 방치하면 큰 위험으로 번질 수 있는 조용한 질환이에요. 평소에 폐 건강을 잘 챙기고, 정기적인 검진을 받는 습관을 들인다면 충분히 예방하고 관리할 수 있습니다. 혹시라도 건강검진 결과에서 폐기포라는 말을 들었다면, 이제는 당황하지 말고 차근차근 이 글을 떠올려보세요. 예방이 최고의 치료라는 말, 다시 한번 떠올리며 오늘도 건강한 하루 보내세요!
건강검진 '폐야 음영(간유리음영)' 나왔다면? 꼭 알아야 할 원인부터 치료·예방까지
건강검진에서 '폐야 음영(간유리음영)' 나왔다면? 꼭 알아야 할 원인부터 치료·예방까지"흉부 CT에서 폐야 음영이 보입니다"라는 말, 처음 듣고 걱정되셨나요? 숨겨진 원인과 대처법, 지금 정확
we-knowhow.co.kr
건강검진 폐경화 소견 - 반드시 알아야 할 10가지 진실
건강검진에서 폐경화 소견? 반드시 알아야 할 10가지 진실"흉부 X-ray에서 '폐경화 소견 있음'이라는 말, 도대체 무슨 의미일까요? 무시했다가 놓치면 큰일 납니다." 여러분 안녕하세요. 건강검
we-knowhow.co.kr
건강검진 분변잠혈검사 양성, 그냥 넘기면 안 되는 이유!
건강검진 분변잠혈검사 양성, 그냥 넘기면 안 되는 이유대변검사에서 '양성' 나왔는데 그냥 넘어가셨나요? 생각보다 심각할 수 있어요. 무조건 이건 알고 가세요. 얼마 전 회사에서 실시한 건강
we-knowhow.co.kr
건강검진 요잠혈 양성(혈뇨) 총정리 - 원인부터 진단·치료까지
요잠혈 양성(혈뇨) 총정리: 원인부터 진단·치료까지, 놓치면 후회할 핵심 가이드소변에서 피가 섞여 나온다면? 그냥 넘기면 안 됩니다. 혈뇨는 단순 이상 징후가 아닌, 큰 병의 신호일 수 있어요
we-knowhow.co.kr
건강검진 초음파 지방간 - 원인, 치료법, 유의점 총정리!
지방간을 부르는 진짜 원인과 해결책, 초음파 검진으로 미리 대비하세요"지방간은 비만한 사람만 생기는 거 아시나요?"라는 말, 이제는 틀릴 수 있어요. 초음파로 조기 진단하면 치료의 흐름이
we-knowhow.co.kr